Invisalign Technik


Bei dem Invisalign – Verfahren werden Zahnspangen mit Hilfe von durchsichtigen, elastischen Schienen (Aligner) durchgeführt. Hierbei wird mit 3-D-Computertechnologie aus sehr präzisen Zweiphasen-Silikon- Abdrücken der Zähne eine ganze Reihe von Alignern hergestellt. Die Aligner werden einer nach dem anderen in einer vorgegebenen Reihenfolge getragen, wodurch die erwünschte Zahnkorrektur realisiert wird. Sie sind sehr komfortabel und fast unsichtbar. Während dieser Art von kieferorthopädischen Behandlung ist eine optimale Mundhygiene ohne weiteres möglich, da die Aligner zum Essen und Zähneputzen herausgenommen werden.


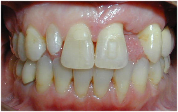
Fall-1

Eine 64jährige Patientin litt unter Engständen im Frontbereich. Der linke Eckzahn im Unterkiefer stand außen im Kreuzbiss, den die Patientin als „Vampirzahn“ bezeichnete. Für die Ausformung des Zahnbogens müsste ein Frontzahn im Unterkiefer entfernt werden. Die Behandlung wurde mit Hilfe der Invisalign Technik durchgeführt. Die Behandlung hat zehn Monate gedauert.

 

64 jährige Patientin

Engstand im Unterkiefer Front

Kreuzbiss des Eckzahnes im Unterkiefer links

 

 

Aligners im Mund

Der Zustand nach 10 Monaten

 

Fall-2

Bei einer jungen Frau waren die zweiten Schneidezähne im Oberkiefer nicht angelegt gewesen. Der linke Milchzahn war noch vorhanden aber nicht mehr erhaltungsfähig. Die mittleren Schneidezähne waren nach rechts gewandert. Die fehlenden Zähne sollten durch Implantate ersetzt werden. Dafür wurden die mittleren Schneidezähne in die Mitte zurückbewegt, um für Implantatversorgung Platz zu schaffen. Die Behandlung mit Invisalign hat 6 Monate gedauert.

 


Fall-3

Bei einer 35jährigen Frau war der linke zweite Schneidezahn im Oberkiefer nicht angelegt gewesen.

Der rechte zweite Schneidezahn war zu klein und zapfenförmig. Der fehlende Zahn sollte zu erst durch eine Merilandbrucke und später durch ein Implantat ersetzt werden. Dafür wurden die mittleren Schneidezähne in die Mitte zurückbewegt, um für Implantatversorgung Platz zu schaffen. Die Lücken in der Unterkieferfront sollen geschlossen werden.

Die Behandlung mit Invisalign hat insgesamt 15 Monate gedauert.

 

 

 

 
 
  Oberkiefer nach 15 Monaten Unterkiefer nach 5 Monaten nach 15 Monaten