|
Segmenttechnik |
||||
Patientenfall-1Bei einem 17jährigen Patienten musste der erste Backenzahn (Molar) im Oberkiefer links extrahiert werden. Der Weisheitszahn war angelegt aber noch nicht durchgebrochen. Durch die Bewegung des zweiten Backenzahnes nach vorne wurde die Lücke geschlossen und somit konnte der Weisheitszahn, der sonst gezogen würde, anstelle des zweiten Backenzahnes durchbrechen und seine Funktion übernehmen.
|
||||
|
|
![]() |
![]() |
![]() |
|
|
Verankerungspin am Gaumen |
Pin zwischen 24 und 25 |
|||
|
|
![]() |
![]() |
||
|
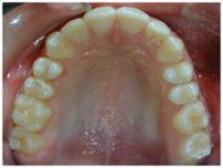
Patientenfall-2 36 jähriger Patient mit Kreuzbiss und Palatinalstand der Backenzähne im Oberkiefer rechts mit einer Restlücke des extrahierten ersten Backenzahns. Mit Hilfe einer OBA-Verankerung wurden Backenzähne nach außen und nach vorne bewegt, der Kreuzbiss beseitigt und die vorhandene Lücke geschlossen.
|
||||
|
|
![]() |
![]() |
||
|
|
Palatinalstand von 17 und 18 mit Restlücke von 16 |
Kreuzbiss der Molaren rechts |
||
|
|
|
![]() |
||
| Beseitigung des Kreuzbisses und der Lücke im Oberkiefer rechts nach 2 Jahren | ||||
|
|
||||
|
|
OBA im Mund | |||
|
· Kombination von Invisalign Technik und Segment Technik Bei komplizierten Fällen, bei denen die Invisalign Technik allein nicht ausreicht, um ein optimales Ergebnis zu erzielen, kann dieses Verfahren in Kombination mit Segmenttechnik, zum erwünschten Ziel führen. |
||||